世界で認められた
インプラント
10年生存率は98.8%
インプラント
世界販売本数
アジア・太平洋地域NO.1
-
信頼している
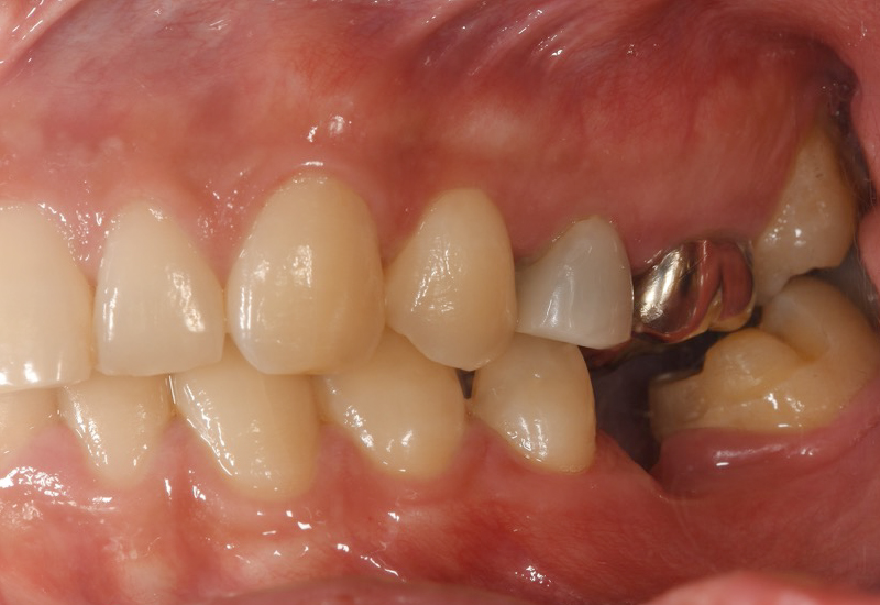
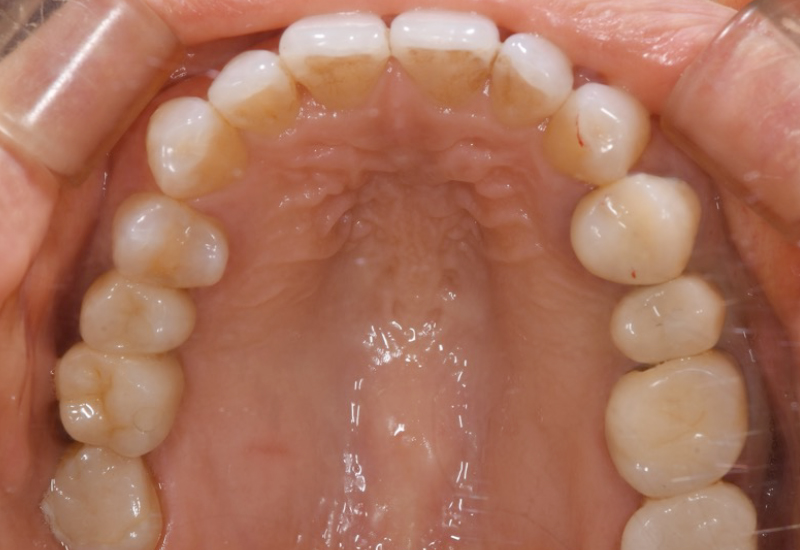
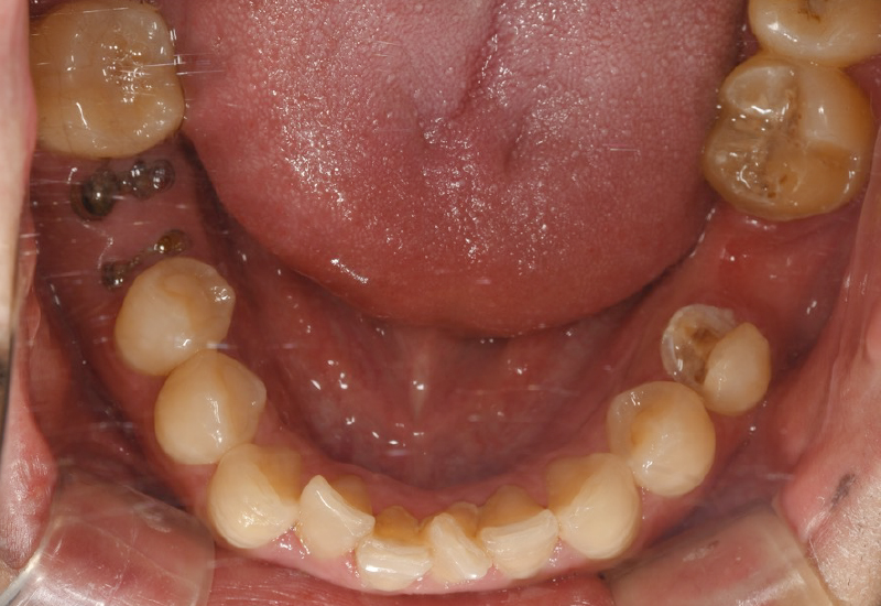
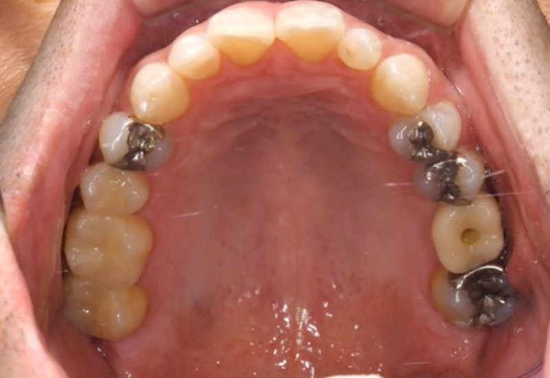
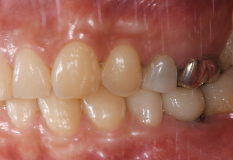
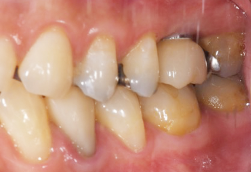
インプラントのみを使用します。インプラントメーカーはたくさんあり、メーカーによっては価格帯・構造も様々です。多くの患者様のインプラントのトラブルを見てきたからこそ、当院では一切の妥協はいたしません。
メーカーによって構造・基本材料・表面処理・形状が全然違います。
インプラントや再生医療は日進月歩の分野。常に研鑚・研修を重ねることの実績・技術力・妥協のない高品質な素材力が必須です。
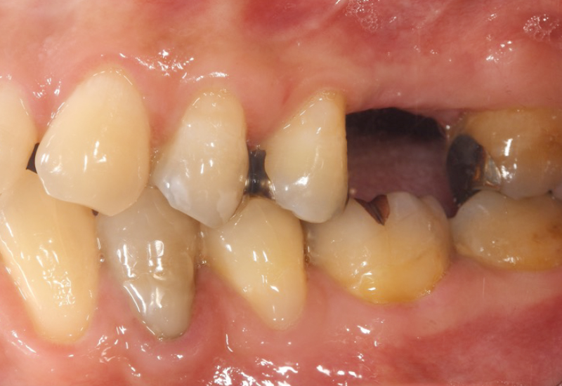
歯科医院の治療方針や技術水準の違いも、治療費に大きく影響します。特に、低コストのオールオンX治療の場合、十分な診断や検査が省略されていることもあるため、要注意。治療内容や医院の信頼性も考慮することが重要です。治療費のみを基準に歯科医院を選ぶのは避けましょう。
